
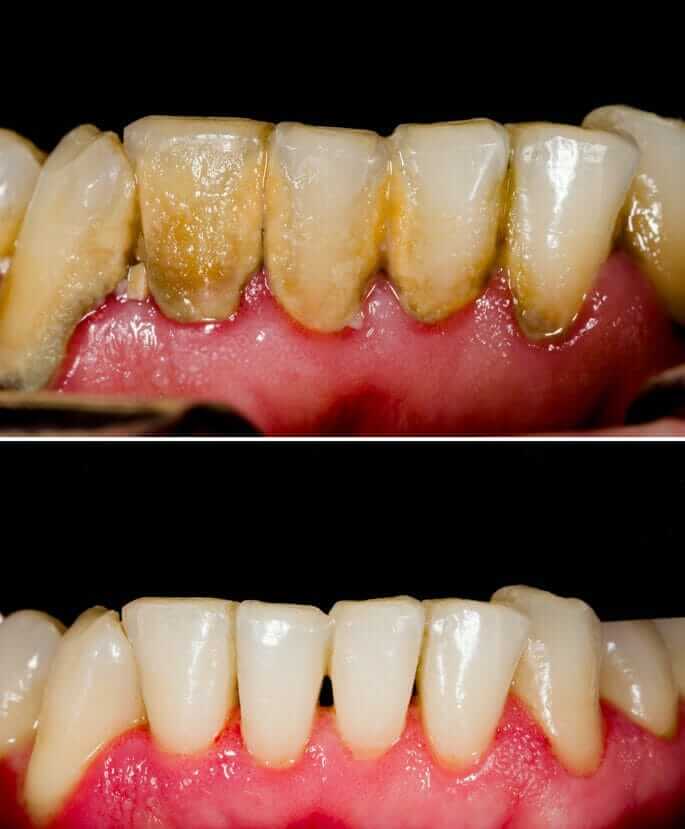
Terapia parodontală are rolul de a preveni și trata bolile gingivale și parodontale (cunoscute popular ca „boala parodontală” sau „parodontoză”). Aceasta include detartrajul profesional, chiuretajul subgingival, tratamente antiseptice și monitorizarea periodică a sănătății gingiilor. Prin diagnostic precoce și tratamente personalizate, se poate opri evoluția bolii și menține stabilitatea dinților pe termen lung.
